Evaluación Final
Esquema a completar.
A continuación, 2 muy buenos esquemas, correspondiente a los trabajos de evaluación de Belfor Arias y Nicolás Montupil.


Acercamiento al detalle de la encía libre y transición al ligamento periodontal a nivel cervical. Bastante bien logrado, con detalles menores a corregir. Ver referencias (1), (2), (3).



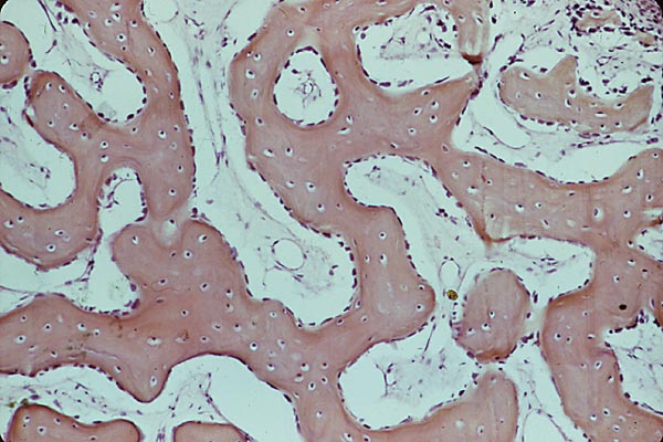
Errores conceptuales en la transición de la encía al ligamento periodontal. Revisen defectos en el hueso cortical en la segunda, el hueso trabecular con sus osteocitos "peregrinos" de la misma, y el recorrido extenso del epitelio en la cortical alveolar de la tercera -y primera, también. En esto último, no se debe de confundir la histología normal del odontón con lo que podría ser un proceso de cicatrización por segunda intención (materia a revisar en Patología I). VEr referencia de hueso trabecular (noten que lo anaranjado en la zona de salud corresponde a espacio medular y el amarillo al hueso trabecular... vean cómo se conectan. Vea las alteraciones que deja la enfermedad periodontal). Otra referencia de hueso trabecular. Ver disposición del hueso en el maxilar superior.


